
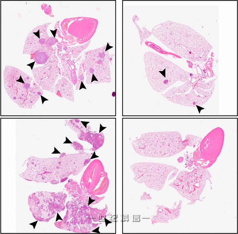
与对照(左图)相比,C26 处理(右图)减少了注射 HSNCC 细胞的小鼠肺部转移性肿瘤的数量。3Credit: © 2021 Khalil 等人。最初发表在《实验医学杂志》上,该图片由生物显微镜拍摄。
一种新的治疗方法通过迫使癌细胞进入无法增殖的休眠状态来防止小鼠转移性肿瘤的生长。这项发表在《实验医学杂志》 ( JEM ) 上的研究可能会带来新的治疗方法,以防止各种癌症类型的复发或扩散,包括乳腺癌和头颈部鳞状细胞癌 (HNSCC)。
许多癌症患者通常在初次治疗后数年或数十年复发,并出现新的肿瘤,这些肿瘤会在同一位置重新生长或转移(扩散)到身体的其他部位。这些继发性肿瘤通常对治疗具有抗药性,并且由单个肿瘤细胞产生,这些肿瘤细胞可能会长时间保持休眠状态,然后再被重新激活以再次开始增殖。因此,如果研究人员能够找到一种方法使剩余的癌细胞处于休眠状态,则可以防止患者复发。
在之前的一项研究中,西奈山伊坎医学院的 Maria Soledad Sosa 和现在在阿尔伯特爱因斯坦医学院的 Julio A. Aguirre-Ghiso 发现癌细胞保持休眠的能力是由一种叫做 NR2F1 的蛋白质控制的。 . 这种受体蛋白可以进入细胞核并打开或关闭许多基因以激活阻止癌细胞增殖的程序。NR2F1 水平在原发性肿瘤中通常较低,但在休眠的播散性癌细胞中升高。当癌细胞再次开始增殖并形成复发性或转移性肿瘤时,NR2F1 蛋白的水平会再次下降。
“因此,我们认为使用小分子激活 NR2F1 可能是一种有吸引力的临床策略,可以诱导癌细胞休眠并防止复发和转移,”Aguirre-Ghiso 解释说。
在新的JEM研究中,Sosa 和 Aguirre-Ghiso 的团队使用基于计算机的筛选方法来识别一种名为 C26 的药物,它可以激活 NR2F1。研究人员发现,用 C26 治疗源自患者的 HNSCC 细胞会提高 NR2F1 的水平并阻止细胞增殖。
研究人员随后测试了 C26 是否会阻止小鼠的转移。注射患者来源的 HNSCC 细胞的动物通常会形成大的原发性肿瘤,在手术切除原始肿瘤后扩散到肺部。C26 治疗减少了原发性肿瘤的大小,并且在手术后,进一步剂量的 C26 完全阻止了转移性肿瘤的生长。取而代之的是,啮齿动物的肺部只含有一些休眠的播散癌细胞,即使在停止治疗后也无法增殖。
Sosa 和 Aguirre-Ghiso 的团队确定,通过激活 NR2F1,C26 迫使癌细胞进入以独特的基因活动模式为特征的长期休眠状态。肿瘤表现出类似基因活性模式的癌症患者往往会持续更长时间而不会复发,这表明用 C26 类药物诱导这种休眠程序可能对人类有效。
“激活 NR2F1 的药物可能对乳腺癌特别有用,”Sosa 说。“与 ER 阴性肿瘤相比,NR2F1 在 ER 阳性肿瘤中高度富集,激活 NR2F1 可能能够抑制通过抗雌激素疗法保持在该状态的休眠癌细胞的重新唤醒。” 然而,由于 C26 治疗提高了 NR2F1 的水平,因此该方法也可能对其他受体蛋白水平较低的癌症有用。
“总体而言,我们的研究揭示了一种基于机制且设计合理的策略,以利用 NR2F1 激活的休眠作为预防转移性复发的治疗选择,”Aguirre-Ghiso 说。
参考文献:“NR2F1 特异性激动剂通过诱导癌细胞休眠来抑制转移”,作者:Bassem D. Khalil、Roberto Sanchez、Tasrina Rahman、Carolina Rodriguez-Tirado、Stefan Moritsch、Alba Rodriguez Martinez、Brett Miles、Eduardo Farias、Mihaly Mezei、Ana Rita Nobre、Deepak Singh、Nupura Kale、Karl Christoph Sproll、Maria Soledad Sosa 和 Julio A. Aguirre-Ghiso,2021 年 11 月 23 日,《实验医学杂志》。
参数来源: 新药可以通过让癌细胞进入睡眠状态来预防肿瘤转移 https://www.ygxwj.com/news/2002/